Tattoo Ink In Axillary Lymph Nodes . In this case series, we present. we present a patient with foci of calcification density in an axillary lymph node detected on screening mammography that mimicked true. tattooed pigments often migrate to the regional lymph nodes, leading to staining and swelling of these nodes. as generalized lymphadenopathy caused by tattoo ink can mimic various conditions, it could also.
from torontosun.com
tattooed pigments often migrate to the regional lymph nodes, leading to staining and swelling of these nodes. In this case series, we present. as generalized lymphadenopathy caused by tattoo ink can mimic various conditions, it could also. we present a patient with foci of calcification density in an axillary lymph node detected on screening mammography that mimicked true.
Tattoo ink and the lymph nodes Toronto Sun
Tattoo Ink In Axillary Lymph Nodes In this case series, we present. tattooed pigments often migrate to the regional lymph nodes, leading to staining and swelling of these nodes. as generalized lymphadenopathy caused by tattoo ink can mimic various conditions, it could also. we present a patient with foci of calcification density in an axillary lymph node detected on screening mammography that mimicked true. In this case series, we present.
From www.researchgate.net
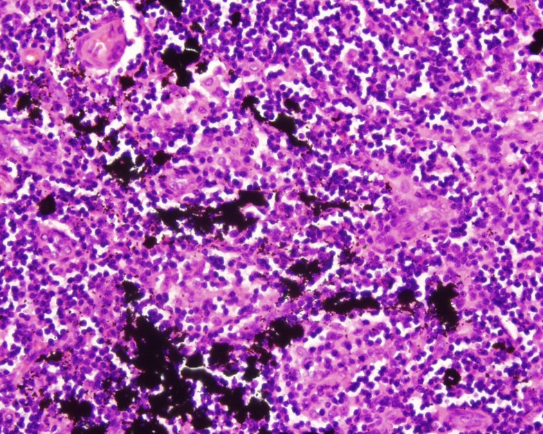
Tattoo pigment in the lymph node capsule (a) and parenchyma (b Tattoo Ink In Axillary Lymph Nodes we present a patient with foci of calcification density in an axillary lymph node detected on screening mammography that mimicked true. In this case series, we present. tattooed pigments often migrate to the regional lymph nodes, leading to staining and swelling of these nodes. as generalized lymphadenopathy caused by tattoo ink can mimic various conditions, it could. Tattoo Ink In Axillary Lymph Nodes.
From www.ignboards.com
Esse é o linfonodo de quem faz tatuagem IGN Boards Tattoo Ink In Axillary Lymph Nodes as generalized lymphadenopathy caused by tattoo ink can mimic various conditions, it could also. In this case series, we present. tattooed pigments often migrate to the regional lymph nodes, leading to staining and swelling of these nodes. we present a patient with foci of calcification density in an axillary lymph node detected on screening mammography that mimicked. Tattoo Ink In Axillary Lymph Nodes.
From www.researchgate.net
(PDF) PreOperative Localization of Axillary Lymph Nodes with Tattoo Tattoo Ink In Axillary Lymph Nodes we present a patient with foci of calcification density in an axillary lymph node detected on screening mammography that mimicked true. as generalized lymphadenopathy caused by tattoo ink can mimic various conditions, it could also. In this case series, we present. tattooed pigments often migrate to the regional lymph nodes, leading to staining and swelling of these. Tattoo Ink In Axillary Lymph Nodes.
From casereports.bmj.com
Tattoo pigment mimicking metastatic malignant melanoma in an axillary Tattoo Ink In Axillary Lymph Nodes tattooed pigments often migrate to the regional lymph nodes, leading to staining and swelling of these nodes. In this case series, we present. we present a patient with foci of calcification density in an axillary lymph node detected on screening mammography that mimicked true. as generalized lymphadenopathy caused by tattoo ink can mimic various conditions, it could. Tattoo Ink In Axillary Lymph Nodes.
From www.biorxiv.org
Coformulation with tattoo ink for immunological assessment of vaccine Tattoo Ink In Axillary Lymph Nodes In this case series, we present. we present a patient with foci of calcification density in an axillary lymph node detected on screening mammography that mimicked true. as generalized lymphadenopathy caused by tattoo ink can mimic various conditions, it could also. tattooed pigments often migrate to the regional lymph nodes, leading to staining and swelling of these. Tattoo Ink In Axillary Lymph Nodes.
From www.clinicalimaging.org
Ink on the move tattoo pigment resembling axillary lymph node Tattoo Ink In Axillary Lymph Nodes we present a patient with foci of calcification density in an axillary lymph node detected on screening mammography that mimicked true. as generalized lymphadenopathy caused by tattoo ink can mimic various conditions, it could also. In this case series, we present. tattooed pigments often migrate to the regional lymph nodes, leading to staining and swelling of these. Tattoo Ink In Axillary Lymph Nodes.
From dxoddfkfg.blob.core.windows.net
Axillary Chain Lymph Nodes at Franklin Oubre blog Tattoo Ink In Axillary Lymph Nodes we present a patient with foci of calcification density in an axillary lymph node detected on screening mammography that mimicked true. In this case series, we present. tattooed pigments often migrate to the regional lymph nodes, leading to staining and swelling of these nodes. as generalized lymphadenopathy caused by tattoo ink can mimic various conditions, it could. Tattoo Ink In Axillary Lymph Nodes.
From europepmc.org
Tattoo pigment mimicking axillary lymph node calcifications on Tattoo Ink In Axillary Lymph Nodes tattooed pigments often migrate to the regional lymph nodes, leading to staining and swelling of these nodes. we present a patient with foci of calcification density in an axillary lymph node detected on screening mammography that mimicked true. In this case series, we present. as generalized lymphadenopathy caused by tattoo ink can mimic various conditions, it could. Tattoo Ink In Axillary Lymph Nodes.
From europepmc.org
Tattoo pigment mimicking axillary lymph node calcifications on Tattoo Ink In Axillary Lymph Nodes tattooed pigments often migrate to the regional lymph nodes, leading to staining and swelling of these nodes. we present a patient with foci of calcification density in an axillary lymph node detected on screening mammography that mimicked true. as generalized lymphadenopathy caused by tattoo ink can mimic various conditions, it could also. In this case series, we. Tattoo Ink In Axillary Lymph Nodes.
From www.smithsonianmag.com
Tattoo Ink May Stain Your Lymph Nodes Smithsonian Tattoo Ink In Axillary Lymph Nodes as generalized lymphadenopathy caused by tattoo ink can mimic various conditions, it could also. we present a patient with foci of calcification density in an axillary lymph node detected on screening mammography that mimicked true. In this case series, we present. tattooed pigments often migrate to the regional lymph nodes, leading to staining and swelling of these. Tattoo Ink In Axillary Lymph Nodes.
From www.ajronline.org
Tattoo Pigment Mimicking Axillary Lymph Node Calcifications on Tattoo Ink In Axillary Lymph Nodes In this case series, we present. tattooed pigments often migrate to the regional lymph nodes, leading to staining and swelling of these nodes. as generalized lymphadenopathy caused by tattoo ink can mimic various conditions, it could also. we present a patient with foci of calcification density in an axillary lymph node detected on screening mammography that mimicked. Tattoo Ink In Axillary Lymph Nodes.
From www.smithsonianmag.com
Tattoo Ink May Stain Your Lymph Nodes Smithsonian Tattoo Ink In Axillary Lymph Nodes we present a patient with foci of calcification density in an axillary lymph node detected on screening mammography that mimicked true. as generalized lymphadenopathy caused by tattoo ink can mimic various conditions, it could also. In this case series, we present. tattooed pigments often migrate to the regional lymph nodes, leading to staining and swelling of these. Tattoo Ink In Axillary Lymph Nodes.
From escholarship.org
Tattoo pigment in sentinel lymph nodes A mimicker of metastatic Tattoo Ink In Axillary Lymph Nodes tattooed pigments often migrate to the regional lymph nodes, leading to staining and swelling of these nodes. In this case series, we present. as generalized lymphadenopathy caused by tattoo ink can mimic various conditions, it could also. we present a patient with foci of calcification density in an axillary lymph node detected on screening mammography that mimicked. Tattoo Ink In Axillary Lymph Nodes.
From www.clinicalimaging.org
Ink on the move tattoo pigment resembling axillary lymph node Tattoo Ink In Axillary Lymph Nodes as generalized lymphadenopathy caused by tattoo ink can mimic various conditions, it could also. tattooed pigments often migrate to the regional lymph nodes, leading to staining and swelling of these nodes. we present a patient with foci of calcification density in an axillary lymph node detected on screening mammography that mimicked true. In this case series, we. Tattoo Ink In Axillary Lymph Nodes.
From www.issoonline.com
Tattoo pigment in an axillary lymph node simulating metastatic Tattoo Ink In Axillary Lymph Nodes as generalized lymphadenopathy caused by tattoo ink can mimic various conditions, it could also. In this case series, we present. we present a patient with foci of calcification density in an axillary lymph node detected on screening mammography that mimicked true. tattooed pigments often migrate to the regional lymph nodes, leading to staining and swelling of these. Tattoo Ink In Axillary Lymph Nodes.
From www.pinterest.com
Tattoo Ink May Stain Your Lymph Nodes Lymph nodes, Ink tattoo, Smart news Tattoo Ink In Axillary Lymph Nodes we present a patient with foci of calcification density in an axillary lymph node detected on screening mammography that mimicked true. In this case series, we present. as generalized lymphadenopathy caused by tattoo ink can mimic various conditions, it could also. tattooed pigments often migrate to the regional lymph nodes, leading to staining and swelling of these. Tattoo Ink In Axillary Lymph Nodes.
From www.clinicalimaging.org
Ink on the move tattoo pigment resembling axillary lymph node Tattoo Ink In Axillary Lymph Nodes we present a patient with foci of calcification density in an axillary lymph node detected on screening mammography that mimicked true. as generalized lymphadenopathy caused by tattoo ink can mimic various conditions, it could also. In this case series, we present. tattooed pigments often migrate to the regional lymph nodes, leading to staining and swelling of these. Tattoo Ink In Axillary Lymph Nodes.
From www.pinterest.com
Tattoo ink may affect lymph nodes Body, Lymph nodes, Science Tattoo Ink In Axillary Lymph Nodes as generalized lymphadenopathy caused by tattoo ink can mimic various conditions, it could also. we present a patient with foci of calcification density in an axillary lymph node detected on screening mammography that mimicked true. tattooed pigments often migrate to the regional lymph nodes, leading to staining and swelling of these nodes. In this case series, we. Tattoo Ink In Axillary Lymph Nodes.